รากเทียม โดย
ทันตแพทย์อเมริกันบอร์ดรากฟันเทียม
ทันตแพทย์ผู้เชี่ยวชาญด้านรากฟันเทียมจากสหรัฐอเมริกา ผศ.ทพ.ภควัตร ชาตริยานุโยค เป็นทันตแพทย์และภูมิภาคเอเชียแปซิฟิค ที่ได้รับ อเมริกันบอร์ดรากฟันเทียม และ อเมริกันบอร์ดทันตกรรมประดิษฐ์(ใส่ฟัน)
ประวัติและคุณวุฒิ
ทันตแพทย์ผู้เชี่ยวชาญ
คุณวุฒิการศึกษา
- ทันตแพทยศาสตรบัณฑิต (เกียรตินิยม), จุฬาลงกรณ์มหาวิทยาลัย พ.ศ. 2547
- ประกาศนียบัตรบัณฑิต (ทันตกรรมประดิษฐ์), จุฬาลงกรณ์มหาวิทยาลัย พ.ศ. 2549
- Certificate in Advanced Prosthodontics, The Ohio State University, USA พ.ศ. 2552
- Fellowship in Implant Dentistry, Loma Linda University, USA พ.ศ. 2553
- Diplomate American Board of Prosthodontics พ.ศ. 2554
- Diplomate American Board of Oral Implantology พ.ศ. 2557
- Diplomate International Congress of Oral Implantologists พ.ศ. 2558
ประสบการณ์การทำงานทางวิชาการ
- Adjunct Assistant Professor, Center for Implant Dentistry, Loma Linda University, USA, 2011-2022
- อาจารย์ ภาควิชาทันตกรรมประดิษฐ์ จุฬาลงกรณ์มหาวิทยาลัย, พ.ศ. 2547-2548
- อาจารย์พิเศษ ภาควิชาปริทันตวิทยา จุฬาลงกรณ์มหาวิทยาลัย, พ.ศ. 2557-ปัจจุบัน
- อาจารย์พิเศษ มหาวิทยาลัยศรีนครินทรวิโรฒน์, พ.ศ. 2557-ปัจจุบัน
- อาจารย์พิเศษ ภาควิชาทันตกรรมประดิษฐ์ มหาวิทยาลัยเวสเทิร์น, พ.ศ. 2556-2565
ประสบการณ์การทำงาน
ได้รับเชิญไปบรรยายเกี่ยวกับรากฟันเทียมทั้งในและต่างประเทศทั่วโลก
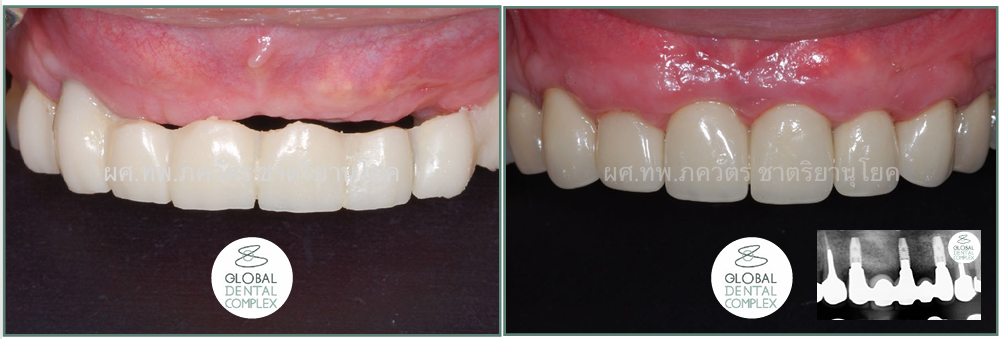
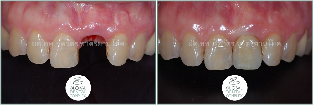
ตัวอย่างเคสรากฟันเทียม โดย ผศ.ทพ.ภควัตร
บทสัมภาษณ์จากคุณ มยุรา
สถาบันที่เกี่ยวข้อง
รีวิวจากคุณสงกรานต์
@songkarntae ไม่เจ็บแต่จบมีจริงอยู่ที่นี่ #globaldentalcomplex #รากฟันเทียมหมอภควัตร #ได้รับ2AmericanBoardคนเดียวในเอเชียแปซิฟิก #AmericanBoardofProsthodontics #AmericanBoardofImplantDentistry @Global Dental Complex ♬ original sound - Songkarn Taechanaron
@songkarntae เหตุผลที่ผมเลือกที่จะทำฟันที่นี้ จบแต่ไม่เจ็บ #globaldentalcomplex #รากฟันเทียมหมอภควัตร #ได้รับ2AmericanBoardคนเดียวในเอเชียแปซิฟิก #AmericanBoardofProsthodontics #AmericanBoardofImplantDentistry ♬ original sound - Songkarn Taechanaron
ที่อยู่
219 ถนนรัตนาธิเบศร์ นนทบุรี 11000
(MRT บางกระสอ ทางออก 1 สายสีม่วง)
เวลาเปิดทำการ 9.00 - 20.00
โทร 065 669 9191,
02 591 9191














































































